DOI: 
10.1039/C5RA22013K
(Paper)
RSC Adv., 2016, 
6, 5718-5728
Ionic liquid-coated Fe3O4/APTES/graphene oxide nanocomposites: synthesis, characterization and evaluation in protein extraction processes
Received 
21st October 2015
, Accepted 22nd December 2015
First published on 23rd December 2015
Abstract
A magnetic solid-phase extraction (MSPE) procedure with a betaine-based ionic liquid (IL) coated 3-aminopropyltriethoxysilane (APTES)–Fe3O4 grafted graphene oxide (GO) nanocomposite (Fe3O4/APTES/GO/IL) as a magnetic adsorbent has been developed for protein extraction. A series of environmentally friendly ionic liquids (ILs) based on betaine and carboxylic acids have been prepared, and their structures have been confirmed by 1H nuclear magnetic resonance (1HNMR). Then the synthetic ionic liquids have been used to modify magnetic graphene oxide nanoparticles (Fe3O4/APTES/GO) to form Fe3O4/APTES/GO/IL. The as-prepared Fe3O4/APTES/GO/IL has been used to extract bovine serum albumin (BSA). After extraction, the concentration of protein in the supernatant was measured by UV-vis spectrophotometry. Several significant factors that affect the extraction amount, such as solution temperature, extraction time, protein concentration, ionic strength and pH value, were investigated. Experimental results show that the extraction amount could reach 139.1 mg g−1. The advantages of Fe3O4/APTES/GO/IL in protein extraction were compared with bare Fe3O4 nanoparticles and Fe3O4/APTES/GO. Moreover, the extraction process of protein from bovine calf whole blood by Fe3O4/APTES/GO/IL has been performed to evaluate the practical applicability of the proposed method.
1. Introduction
A room temperature ionic liquid (RTIL) is a salt melting at about room temperature, which consists of an organic cation and inorganic or organic anion. It is considered to be one kind of new environment-friendly solvent which can substitute traditional organic solvents. ILs have been used in many fields due to their special properties, including high thermal stability, negligible vapor pressure, high electrical conductivity, strong catalytic activity, designable structures, and remarkable dissolving and extracting capacity.1–4 Recently, the immobilization of ionic liquids has opened novel applications in electrochemical analysis,5,6 catalysis,7,8 and separation.9,10 The introduction of ionic liquids into support materials usually results in superior properties when compared with either component alone, such as higher catalytic activity7 and higher extraction efficiency.11–13
Due to the high surface areas and the improved dispersibility in liquid medium,14 nanoparticles (NPs) contemporarily have developed as the commonly used support materials.15,16 Magnetic nanoparticles (MNPs), which can be easily collected by an external magnet,17,18 gain more and more attention owing to their potential advantages, such as MNPs can be obtained from inexpensive materials and can be tuned by proper surface modification.19–21 Among the various magnetic nanoparticles, Fe3O4 nanoparticles are frequently used as the core magnetic support,22–24 due to their ease of synthesis, low cost and considerably high magnetic susceptibility.25 However, bare Fe3O4 nanoparticles can be unstable, because they can be dissolved in acidic medium or oxidized when exposed to the air. In order to overcome this drawback, Fe3O4 nanoparticles can be coated with a protective layer of different materials to enhance their stability and extend their application.26 Graphene oxide (GO) is a versatile coating material due to its huge surface area, extraordinary physical and chemical properties, and possibility of surface modification.
Graphene oxide coated magnetic microspheres (Fe3O4@GO) have gained widespread attention in separation because they can be easily and rapidly separated from liquid media by means of an external magnet.27–29 Ionic liquid modified magnetic graphene oxide (Fe3O4@GO-IL), which combined the advantages of each component, has become more and more popular in recent years. And efforts have been devoted to researching the application of Fe3O4@GO-IL in magnetic solid phase extraction.30–32 Although the immobilized ionic liquids lose liquid state, the other unique properties such as polarity and low volatility are maintained.33 Additionally, the introduction of ILs into support materials could not only enhance water-solubility but also could improve the extraction efficiency of proteins.
Ionic liquids have achieved a consolidated popularity as “green” solvents for synthesis and extraction process. However, concerns about the toxicity of ILs have arisen during past years. Imidazolium- or pyridinium-based ILs have been proved to be highly toxic and poorly biodegradable.34 Consequently, the preparation of ILs with excellent biodegradability and low toxicity from cheap raw materials has been proposed recently.35,36 Choline chloride (ChCl) is a cheap natural resource, which is known to be non-toxic and biodegradable. Carboxylic acids are the most common organic acids, and they are also low-toxic and biodegradable. Hence, cholinium-based ILs using carboxylates as anions would be environmentally benign and biodegradable.35,36
In a search for cheap and easily accessible cationic building blocks for ionic liquid alternatives for choline, betaine has attracted attention. Betaine is a common name for 1-carboxy-N,N,N-trimethymethanaminium hydroxide, and it is an inner salt since it has a zwitterionic structure. E. Coronado et al. have reported the protonated betaine ILs [Hbet][PF6] for the first time.37 Currently, betaine-based ILs have emerged as solvents to dissolve metal oxides,38 and as adsorbents to adsorb gas.39
In this paper, four kinds of betaine-based ILs have been prepared. Then 3-aminopropyltriethoxysilane (APTES) modified Fe3O4 nanoparticles (Fe3O4/APTES) were synthesized. Since Fe3O4/APTES were positively charged when exposed to the acidic solution, its combination with GO to form magnetic graphene oxide (Fe3O4/APTES/GO) were carried out through electrostatic interactions. Fe3O4/APTES/GO/IL was prepared by the modification of Fe3O4/APTES/GO with the betaine-based ILs. In the prepared Fe3O4/APTES/GO/IL magnetic composites, graphene oxide (GO) has been played connection of Fe3O4/APTES and IL. Due to the huge surface area and the abundant functional groups of GO, the addition of GO can provide an efficient platform for loading ionic liquid. Accordingly, the water-solubility and the extraction capacity of the magnetic composites could be improved. For this reason, the present study has used the as-prepared Fe3O4/APTES/GO/IL for the magnetic solid-phase extraction (MSPE) of bovine serum albumin (BSA). After extraction, the concentrations of BSA in the supernatant were determined by measuring the adsorbance at 278 nm by an UV-vis spectrophotometer. The proposed Fe3O4/APTES/GO/IL-MSPE method has been applied for the extraction of protein from bovine calf whole blood.
2. Experimental
2.1 Materials and apparatus
All reagents used were of at least analytical grade and needed no further purification. Graphite powder, KMnO4, BaCl2, NaCl, K2HPO4, KH2PO4, H2O2 (30%), FeCl3·6H2O, FeSO4·7H2O, ammonium hydroxide, formic acid, acetic acid, propionic acid, n-butyric acid, methanol, ethanol, bovine serum albumin (BSA) were purchased from Sinopharm Chemical Reagent Co., Ltd (Shanghai, China). NaNO3 was supplied by Taishan Chemical Co., Ltd (Guangdong, China). Concentrated sulfuric acid and hydrochloric acid were obtained from Zhuzhou Star Glass Co., Ltd (Hunan, China). Hydrazine hydrate (80%) was purchased from Shanghai Shanpu Chemical Co., Ltd (Shanghai, China). 3-Aminopropyltriethoxysilane (APTES) was purchased from Sun Chemical Technology Co., Ltd (Shanghai, China). Betaine anhydrous was obtained from Shanghai Yuanye biological technology Co., Ltd (Shanghai, China). Calf blood sample was purchased from Jiaozuo biological technology Co., Ltd (Jiaozuo, China).
The main instruments: UV-2450 UV-vis spectrophotometer (Shimadzu, Japan); FT-IR spectrometer (PerkinElmer, USA); MIRA3 LMU field emission scanning electron microscopy (TESCAN, Czech); transmission electron microscopy (Tecnai F30 G2, USA); STA 409 thermal gravimetric analyzer (Netzsch, Germany); EV 11 Vibrating Sample Magnetometer (MicroSense, USA); XRD-6100 X-ray diffraction (Shimadzu, Japan); Mos-500 circular dichroism (CD) spectrometer (Biologic, France); Bruker 400 MHz nuclear magnetic resonance spectrometer (Bruker 400 MHz Advance, Switzerland); incubator shaker (QYC 200; FuMa Experimental Equipment Co., Ltd Shanghai, China); ultra-pure water instrument (RM 220; LiDe Experimental Equipment Co. Ltd Shanghai, China).
2.2 Synthesis of betaine-based ionic liquids
In this study, four kinds of betaine-based ionic liquids (as shown in Fig. 1) were synthesized on the basis of the literature procedures with slight modification.40,41 The ILs were directly synthesized by neutralization of betaine with corresponding acids in an equal molar ratio. Typically, 0.04 mol of betaine was completely dissolved in 10 mL of water, and then equal molar acid was slowly added to the solution under magnetic stirring. The stirring was maintained 12 h at room temperature. Finally, the water was removed with the helping of the vacuum rotator evaporator and the vacuum drying oven. The structures of the prepared ILs were confirmed by 1HNMR (as shown in Table 1).
|  | 
|  | Fig. 1  Chemical route for synthesis of ionic liquids and chemical structure of the cation and anions used in the present work. |  | 
Table 1 The chemical shifts of 1HNMR spectra for the synthetic ILs
		
| ILsa | 1H NMR spectrab (δ, ×10−6) | 
| Four kinds of ILs were all dissolved in DMSO. 1HNMR chemical shifts were reported downfield from trimethylsilane (TMS). Multiplicities are abbreviated as s = singlet, t = triplet, q = quartet and m = multiplet. | 
| IL1 | 3.16 (s, 9H, –NCH3), 3.72 (s, 2H, –NCH2), 8.23 (s, 1H, –OOCH) | 
| IL2 | 3.13 (s, 9H, –NCH3), 3.55 (s, 2H, –NCH2), 1.90 (s, 3H, –OOCCH3) | 
| IL3 | 3.13 (s, 9H, –NCH3), 3.53 (s, 2H, –NCH2), 2.21 (q, 2H, –OOCCH2), 0.98 (t, 3H, –CH3) | 
| IL4 | 3.13 (s, 9H, –NCH3), 3.53 (s, 2H, –NCH2), 2.17 (t, 2H, –OOCCH2), 1.50 (m, 2H, –CH2CH2COO–), 0.87 (t, 3H, –CH3) | 
2.3 Synthesis of amino-silane modified Fe3O4 nanoparticles (Fe3O4/APTES)
The synthesis of Fe3O4 nanoparticles was carried out by the modified co-precipitation method.42 0.04 mol of FeCl3·6H2O was dissolved in 60 mL of water, then 0.02 mol of FeSO4·7H2O was added to the solution. After being completely dissolved, 2 mL of hydrazine hydrate was added into the mixture quickly with violent stirring. In a short while, ammonium hydroxide was gradually added until pH = 9. The reaction was kept at room temperature for 30 min, followed by 2 h at 60 °C in water bath. The solid product was collected by magnetic separation and then water-washed until the washing solution was neutral. Eventually, the Fe3O4 nanoparticles were freeze dried.
Amino-silane modified Fe3O4 nanoparticles (Fe3O4/APTES) were synthesized according to the reported method with a little modification.43 1.0 g of Fe3O4 in 100 mL of ethanol was ultra-sonicated 30 min. The resulting dispersion was bubbled with argon gas for 30 min, and then added 1 mL of 3-aminopropyltriethoxysilane (APTES) under mechanical stirring. The reaction was maintained at room temperature for 24 h. Finally, the solid product was gathered with the help of a magnet and repeatedly washed with ethanol. The obtained Fe3O4/APTES particles were dried under vacuum at 60 °C.
2.4 Synthesis of magnetic graphene oxide (Fe3O4/APTES/GO)
The synthesis of GO was performed according to previous work.44 Fe3O4/APTES/GO were prepared base on the literature procedures.45,46 25.0 mg of the as-prepared GO and 100.0 mg of the Fe3O4/APTES particles were completely dispersed in 80 mL water respectively. Adjust the pH value of the two solutions to 3 by adding a certain amount of hydrochloric acid solution. Then the GO solution was poured into the Fe3O4/APTES solution under mechanical stirring. After stirring at room temperature for an hour, the prepared product was separated from the reaction system by a magnet and water-washed until neutral. Finally, the particles were washed with anhydrous ethanol and dried under vacuum at 60 °C.
2.5 Synthesis of betaine-based ionic liquid coated magnetic graphene oxide (Fe3O4/APTES/GO/IL)
The preparation of Fe3O4/APTES/GO/IL was carried out as mentioned following: 0.4 g of IL dissolved in 8 mL of methanol was put into a round bottomed flask which contained 0.1 g of Fe3O4/APTES/GO. The resulting mixture was sonicated for 2 h. After that, the solid product was magnetic separated and washed with methanol. Lastly, the resulting IL impregnated Fe3O4/APTES/GO was dried under vacuum at 60 °C and use for further studies. Scheme 1 gives out the illustration of the whole preparation of Fe3O4/APTES/GO/IL and its application in MSPE of protein.
|  | 
|  | Scheme 1  Synthesis of Fe3O4/APTES/GO/IL and its application for the MSPE of protein. |  | 
2.6 Zeta potential test
Take a few 10 mL centrifuge tubes and add 1 mg of Fe3O4/APTES/GO/IL into each centrifuge tube. Then 10 mL of buffer solution with corresponding pH value was added into corresponding centrifuge tube. The obtained mixture was sonicated to achieve uniformity. Finally, a zeta potential measurement was applied to measure the zeta potentials of Fe3O4/APTES/GO/IL.
2.7 Extraction experiments
Fe3O4/APTES/GO/IL (10 mg) was placed into a 2 mL centrifuge tube. Then 1 mL of the protein solution with the concentration of 2 mg mL−1 was added. The centrifuge tube was placed in a QYC200 incubator shaker and shaken at certain temperature with a shaking speed of 200 rpm for an appropriate time. After extraction, the concentration of the protein in the supernatant was measured by the UV-vis spectrophotometer. The extraction amount (Q) was calculated according to the following equation:
In the above equation, Q (mg g−1) is the mass of protein adsorbed onto a unit amount of Fe3O4/APTES/GO/IL, C0 and C (mg mL−1) are the initial and final concentration of proteins in the solution, V (mL) is the volume of the initial solution and m (mg) is the mass of Fe3O4/APTES/GO/IL.
2.8 Real sample test
Bovine calf whole blood was chosen as real sample to study the practical applicability of the propose method. 10 mg of Fe3O4/APTES/GO/IL4 was applied to extract BSA from bovine calf whole blood diluted 100-fold with buffer solution (pH = 4). After extraction, 10 μL the supernatant was used for sodium dodecyl sulfate polyacrylamide gel electrophoresis (SDS-PAGE) analysis with 12% polyacrylamide separating gel (Mini-protean-3, Bio-Rad).
3. Results and discussion
3.1 Characterization of Fe3O4/APTES/GO/IL
3.1.1 Vibrating sample magnetometer. It is known that magnetism is a crucial property of magnetic materials. Therefore, the magnetic properties of the materials were evaluated by EV 11 vibrating sample magnetometer (VSM) at room temperature. Fig. 2 presented the magnetic hysteresis loops of Fe3O4, Fe3O4/APTES, Fe3O4/APTES/GO and Fe3O4/APTES/GO/IL (Fe3O4/APTES/GO/IL4 was chosen as the model to show their similar physical and chemical properties). The experimental results indicated that the saturation magnetization of them is 75.29 emu g−1, 64.56 emu g−1, 50.32 emu g−1 and 45.64 emu g−1, respectively. Obviously, the magnetic property of Fe3O4 nanoparticles was reduced after the functionalization with APTES, GO and ionic liquid. These coverings on the surface of Fe3O4 nanoparticles are non-magnetic, and their shielding effect resulted in the reduction of the magnetic property of Fe3O4 nanoparticles. However, Fe3O4/APTES/GO/IL still possesses sufficient magnetism to ensure rapid separation. The inset in the lower right corner has directly proved that Fe3O4/APTES/GO/IL is magnetic and can be collected from liquid medium with the help of an external magnet.
|  | 
|  | Fig. 2  Magnetic hysteresis loops of Fe3O4 (a), Fe3O4/APTES (b), Fe3O4/APTES/GO (c) and Fe3O4/APTES/GO/IL (d), and the inset is the magnetic response of Fe3O4/APTES/GO/IL to external magnetic field. |  | 
 
3.1.2 X-ray diffraction. XRD patterns on a XRD-6100 X-ray diffraction spectrometer for the synthesized magnetic nanoparticles are shown in Fig. 3. In the 2θ range of 10°–80°, the six primary diffraction peaks for Fe3O4 (2θ = 30.3°, 35.6°, 43.3°, 53.6°, 57.3° and 62.9°) can be observed clearly in all samples. These peak positions were indexed as (220), (311), (400), (422), (511) and (440), respectively (JCPDS card: 019-0629). The XRD results revealed the existence of magnetic nanoparticles. In other words, the Fe3O4/APTES/GO/IL has been further proved to possess magnetism and can be separated from liquid medium.
|  | 
|  | Fig. 3  X-ray diffraction patterns of Fe3O4 (a), Fe3O4/APTES (b), Fe3O4/APTES/GO (c) and Fe3O4/APTES/GO/IL (d). |  | 
 
3.1.3 Fourier transform infrared spectrometry. FTIR spectra can provide useful information for identifying the existence of certain functional groups or chemical bonds in a molecule. Hence, a Fourier transform infrared spectrometry on a Perkin-Elmer Spectrum using the KBr pellet technique was used to record the spectra of GO, Fe3O4, Fe3O4/APTES, Fe3O4/APTES/GO and Fe3O4/APTES/GO/IL, as presented in Fig. 4. It can be seen the peaks at 588 cm−1 that originated from Fe–O in the spectra of Fe3O4 and Fe3O4/APTES. In addition, the peaks at 2920 cm−1 and 2850 cm−1 (the asymmetric and symmetric stretching vibrations of CH2 in alkyl chains, respectively) were detected in the spectrum of Fe3O4/APTES, suggesting that the Fe3O4 particles was successfully modified with APTES.47,48 In the spectrum of GO, we can find the peaks at 1069 cm−1 (C–O–C), 1226 cm−1 (C–OH), 1403 cm−1 (C–O asymmetrical stretching vibrations of –COOH), 1739 cm−1 (C![[double bond, length as m-dash]](https://www.rsc.org/images/entities/char_e001.gif) O stretching vibrations of –COOH) and 3401 cm−1 (O–H), which reveal the presence of the oxygen-containing functional groups. We also can find the peak at 1635 cm−1, which corresponds to the stretching vibrations of C
O stretching vibrations of –COOH) and 3401 cm−1 (O–H), which reveal the presence of the oxygen-containing functional groups. We also can find the peak at 1635 cm−1, which corresponds to the stretching vibrations of C![[double bond, length as m-dash]](https://www.rsc.org/images/entities/char_e001.gif) C in the carbon skeletal network. With the same peaks of GO, Fe3O4/APTES/GO and Fe3O4/APTES/GO/IL both presented a peak at 588 cm−1 that originated from Fe–O, confirming the presence of Fe3O4. Unluckily, new peaks can't be found in the spectrum of Fe3O4/APTES/GO/IL, because there are no new functional groups or chemical bonds in Fe3O4/APTES/GO/IL.
C in the carbon skeletal network. With the same peaks of GO, Fe3O4/APTES/GO and Fe3O4/APTES/GO/IL both presented a peak at 588 cm−1 that originated from Fe–O, confirming the presence of Fe3O4. Unluckily, new peaks can't be found in the spectrum of Fe3O4/APTES/GO/IL, because there are no new functional groups or chemical bonds in Fe3O4/APTES/GO/IL.
|  | 
|  | Fig. 4  FTIR spectra of Fe3O4 (a), Fe3O4/APTES (b), GO (c), Fe3O4/APTES/GO (d) and Fe3O4/APTES/GO/IL (e). |  | 
 
3.1.4 Thermal gravimetric analysis. The relative composition of ionic liquids on the surface of Fe3O4/APTES/GO/IL was evaluated by thermal gravimetric analysis (TGA) on a STA 409 thermal gravimetric analyzer with a heating rate of 10 °C min−1 from room temperature to 800 °C under N2. The characterization results are given in Fig. 5A. The coverings and magnetite of all samples were completely burned to generate gas products and converted into iron oxides at the elevated temperature, respectively. The first weight losses of all samples were observed below 150 °C which can be ascribed to the removal of water and residual solvent. TGA curve of Fe3O4/APTES (as shown in Fig. 5A(b)) indicated that the magnetite content is about 86.8%. From TGA curve of Fe3O4/APTES/GO and Fe3O4/APTES/GO/IL (as presented in Fig. 5A(c and d)), the weight loss stage of evaporation of water and residual solvent can be seen, while the other weight loss stage beginning at about 230 °C due to the decomposition of the coverings on the surface of Fe3O4 also can be observed. TGA curve of Fe3O4/APTES/GO/IL showed that the content of magnetite is about 76.8%. Compared with Fe3O4/APTES/GO, more weight loss can be observed in Fe3O4/APTES/GO/IL, proving the successful modification of Fe3O4/APTES/GO with ionic liquids.
|  | 
|  | Fig. 5  TGA curves (A) and DTG curves (B) of Fe3O4 (a), Fe3O4/APTES (b), Fe3O4/APTES/GO (c) and Fe3O4/APTES/GO/IL (d). |  | 
DTG investigation results have been obtained according to TGA experimental data and presented in Fig. 5B. From the results, the degradation points below 100 °C which referred to the removal of water and residual solvent can be observed. In addition, the degradation point at about 230 °C can be seen obviously. Unfortunately, the other degradation points can't be clearly seen. Therefore, the onset degradation temperatures of samples can't be determined.
 
3.1.5 Field emission scanning electron microscopy. Fig. 6 presents the field emission scanning electron microscopy (FESEM) with a magnification of 60![[thin space (1/6-em)]](https://www.rsc.org/images/entities/char_2009.gif) 000× of Fe3O4 and Fe3O4/APTES/GO/IL. Fig. 6a illustrates that the as-prepared Fe3O4 particles are nanosized and seriously aggregated. From Fig. 6b, it can be observed that the size of Fe3O4/APTES/GO/IL particles was larger than that of Fe3O4 particles, mainly due to the modification of APTES. In addition, the particles appear to show crinkled and rough surface textures. The obtained FESEM results indicate that the combination of Fe3O4 and GO has been taken place.
000× of Fe3O4 and Fe3O4/APTES/GO/IL. Fig. 6a illustrates that the as-prepared Fe3O4 particles are nanosized and seriously aggregated. From Fig. 6b, it can be observed that the size of Fe3O4/APTES/GO/IL particles was larger than that of Fe3O4 particles, mainly due to the modification of APTES. In addition, the particles appear to show crinkled and rough surface textures. The obtained FESEM results indicate that the combination of Fe3O4 and GO has been taken place.
|  | 
|  | Fig. 6  FESEM images of Fe3O4 (a) and Fe3O4/APTES/GO/IL (b). |  | 
 
3.1.6 Transmission electron microscopy. The shape and structure of GO, Fe3O4/APTES and Fe3O4/APTES/GO/IL have been studied by transmission electron microscopy (TEM). From TEM image of GO (Fig. 7a), multilayered graphene oxide nanosheets can be observed. Fig. 7b provides the TEM image of Fe3O4/APTES. Particles with an approximate spherical shape and an average diameter of 20 nm were observed. As presented in Fig. 7c, the nanoparticles and GO is visible, and the region indicated by arrow is likely to be stacked sandwiched structure, indicating the successful preparation of magnetic graphene oxide.
|  | 
|  | Fig. 7  TEM images of GO (a), Fe3O4/APTES (b) and Fe3O4/APTES/GO/IL (c). |  | 
 
3.1.7 The determination of isoelectric point. The isoelectric point (pI), which is a significant physicochemical characteristic of many compounds, can help to estimate the surface charges of compound particles at different pH values. A zeta potential measurement was applied to measure the zeta potentials of Fe3O4/APTES/GO/IL. To obtain the isoelectric point, the pH value of the suspension needed to be changed. The experimental results were given in Fig. 8. It can be found that the pI of the as-prepared Fe3O4/APTES/GO/IL1, Fe3O4/APTES/GO/IL2, Fe3O4/APTES/GO/IL3 and Fe3O4/APTES/GO/IL4 is about 2.4, 2.4, 2.6 and 2.6, respectively, showing that there are no significant differences between the pI values of the nanocomposites depending on the type of the IL employed. The surface charge of Fe3O4/APTES/GO/IL was positive at pH value lower than pI, and negative at pH value higher than pI.
|  | 
|  | Fig. 8  Variation of the zeta-potential of Fe3O4/APTES/GO/IL1 (a), Fe3O4/APTES/GO/IL2 (b), Fe3O4/APTES/GO/IL3 (c) and Fe3O4/APTES/GO/IL4 (d) under different pH values. |  | 
 
3.2 Single factor experiments
MSPE experiments were carried out by using Fe3O4/APTES/GO/IL as extractant and BSA as the model protein to investigate the extraction ability of the proposed Fe3O4/APTES/GO/IL-MSPE method. Several significant factors were researched.
3.2.1 The influence of the types of ILs. Four kinds of different prepared betaine-based ionic liquids were used in this work. The experiments were performed for 1 hour under 25 °C. From the experimental results, it can be clearly seen the differences of the extraction amount for BSA in different Fe3O4/APTES/GO/IL-MSPEs (IL1: 59.9 mg g−1, IL2: 80.1 mg g−1, IL3: 83.0 mg g−1, IL4: 85.3 mg g−1). It is known that the four synthesized ILs possess the same cation and different anions, so the main influence on the extraction amount came from anions. From COO− to CH3CH2CH2COO−, the hydrophobicity of ILs becomes stronger since the carbon chain becomes longer. It is known that the longer carbon chain the higher extraction amount.32,49 Therefore, the extraction amount of Fe3O4/APTES/GO/IL4 is the highest. Finally, Fe3O4/APTES/GO/IL4 was selected in the following investigations. 
3.2.2 The influence of solution temperature. A series of experiments were carried out at different temperature to research the influence of temperature on the extraction ability of Fe3O4/APTES/GO/IL4. As shown in Fig. 9a, with the increasing of temperature, the extraction amount increased, demonstrating the endothermic nature of the extraction process. From Fig. 9a, it can be seen clearly that the increasing of extraction capacity becomes slow when the temperatures go from 35 to 40 °C. The possible cause of this changing tend is that the hydrophobic interactions enhance along with the raising of temperature. However, when the temperature is high enough, the hydrogen bonding interactions between ionic liquid and amino acid residue could be destroyed. Moreover, protein denaturation will happen at a high enough temperature. Therefore, 35 °C was chosen to perform the following experiments.
|  | 
|  | Fig. 9  Influences of (a) solution temperature, (b) extraction time, (c) protein concentration, (d) solution ionic strength and (e) solution pH value. |  | 
 
3.2.3 The influence of extraction time. The relationship of the extraction amount of protein and the extraction time was presented in Fig. 9b. Decrease in extraction rates was observed with the passing of time. Within the first 20 min of the extraction process, the extraction amount goes up linearly. In the range of 20–120 min, the increasing trend becomes slower and slower. Two hours later, the extraction achieves a balance and the extraction amount nearly reached a constant value. This observation can be explained by the fact that when the extraction process is just beginning, there exist many adsorption sites on the surface of the composites and the protein can be easily extracted. As time went on, more and more adsorption sites have been occupied. An extraction balance would be achieved when all the adsorption sites were occupied. Accordingly, 2 h was chosen as the proper extraction time.To describe the adsorption kinetic process of BSA adsorbed onto Fe3O4/APTES/GO/IL4, the obtained experimental datas were evaluated by pseudo-first-order model and pseudo-second-order-model. Table 2 gives a summary of these two models. As shown in Table 2, the theoretical Qe value deduced from the pseudo-first-order model was extremely different from experimental value and was found to be much lower. For pseudo-second-order model, the value of R2 was higher and the theoretical Qe value fit the experimental value quite well. Therefore, the adsorption process could be more suitably described by the pseudo-second-order model.
Table 2 Kinetic constants of BSA adsorbed onto Fe3O4/APTES/GO/IL4
		
| Model | Pseudo-first-order | Pseudo-second-order | 
| Equation | ln(Qe − Qt) = ln ![[thin space (1/6-em)]](https://www.rsc.org/images/entities/char_2009.gif) Qe − k1t |  | 
| Constant | k1 (min−1) | Qe (mg g−1) | R2 | k2 (g mg−1 min−1) | Qe (mg g−1) | R2 | 
|  | 0.0195 | 43.1 | 0.9947 | 0.0010 | 138.9 | 0.9996 | 
 
3.2.4 The influence of protein concentration. Considering that protein concentration was a factor related to the extraction capacity, protein solutions with different initial concentration values in the range of 0.1–3.0 mg mL−1 were selected. The changing tendency of extraction amount was shown in Fig. 9c. Obviously, the extraction amount increased linearly when the initial BSA concentration was less than 2.0 mg mL−1. While the extraction amount remained virtually unchanged between 2.0 mg mL−1 and 3.0 mg mL−1. The explanation for this observation was that any extraction system possesses limited extraction ability. For this present work, the extraction system reached saturated state when the initial concentration of BSA was larger than 2.0 mg mL−1, so that there was no more space for BSA. Consequently, an appropriate BSA concentration of 2.0 mg mL−1 was selected to continue the following study.To describe the model of the equilibrium adsorption, the experimental datas were simulated using the Langmuir and Freundlich models. The constants of the two models were summarized in Table 3. According to Langmuir model, the theoretical Qmax was much higher than the experimental value. Besides, the value of R2 was lower than that calculated by Freundlich model. The analyzed results implied that the Langmuir model could not fit well for BSA adsorbed onto Fe3O4/APTES/GO/IL4 within the studied concentration range. And the model of equilibrium adsorption may be well described by the Freundlich model.
Table 3 Langmuir and Freundlich isotherm constants of Fe3O4/APTES/GO/IL4
		
| Langmuir model | Freundlich model | 
|  |  | 
| Qmax (mg g−1) | kL (mL mg−1) | R2 | kF (mg g−1) | n (mL g−1) | R2 | 
| 250.0 | 0.513 | 0.9129 | 74.0 | 1.267 | 0.9631 | 
 
3.2.5 The influence of solution ionic strength. This part mainly studied about the influence of ionic strength on the extraction performance of Fe3O4/APTES/GO/IL4. The solution ionic strength was changed through adding NaCl. Fig. 9d presented the experimental results. It can be seen that solution ionic strength affected the extraction of BSA. Moreover, the extraction capacity decreased with the increment of ionic strength within a certain range. Thus it could be inferred that the adsorption of BSA onto Fe3O4/APTES/GO/IL4 was driven by electrostatic interactions, and there may be competitions between sodium ions and ionic liquids. No obvious change was observed for the extraction capacity when the concentration of NaCl was over 0.05 mol L−1, and the extraction amount was not a negligible value, indicating that the driving forces also include hydrophobic interactions and hydrogen bonding interactions. It should be made clear that the increasing of ionic strength resulted in a suppression of the extraction of BSA. 
3.2.6 The influence of solution pH value. It is generally known that the charge density of Fe3O4/APTES/GO/IL4 was a significant factor influencing on the extraction amount. Consequently, a series of experiments were performed under the pH values ranging from 2.0 to 8.0. The experimental results, as shown in Fig. 9e, suggested that greatly changes have taken place in the extraction amount of BSA. The extraction amount was low at pH 2.0. This is because the surfaces of BSA (pI = 4.8) and Fe3O4/APTES/GO/IL4 (pI ≈ 2.6) were both positively charged. With the raise of pH, more and more BSA had been extracted and the extraction amount reached its highest value at pH 4.0. This could be attributed to the fact that the surfaces of BSA were positively charged and those of Fe3O4/APTES/GO/IL4 were negatively charged, which was beneficial to extract BSA. However, when the pH value was between 6.0 and 8.0, the extraction amount dropped rapidly due to the electrostatic repulsion. Therefore, the optimized pH value of the presented system should be selected at 4.0. 
3.3 Comparison of Fe3O4, Fe3O4/APTES/GO and Fe3O4/APTES/GO/IL
Three kinds of magnetic materials, including Fe3O4, Fe3O4/APTES/GO and Fe3O4/APTES/GO/IL, were used as extractant to extract BSA under the same condition for purpose of evaluating the superiority of the proposed Fe3O4/APTES/GO/IL-MSPE method. The obtained extraction amounts of BSA were 49.6 mg g−1, 93.5 mg g−1 and 139.1 mg g−1, respectively (experimental datas are provided in Table 4). It is obvious that these three kinds of magnetic materials have the ability to extract protein, but the extraction amounts are different. Bare Fe3O4 presents the lowest extraction amount. When combined with GO, the extraction amount increased greatly. That is because there are plenty of oxygen-containing functional groups, which can interact with proteins through hydrogen bonding and electrostatic interactions.50 Moreover, GO can form hydrophobic interactions with proteins.51 After modified with betaine-based IL, Fe3O4/APTES/GO has more interactions with protein and accordingly exhibits stronger extraction ability, indicating that Fe3O4/APTES/GO/IL is superior to the other two materials in protein extraction.
Table 4 Experimental datas of comparison of Fe3O4, Fe3O4/APTES/GO and Fe3O4/APTES/GO/IL
		
| Liquid sample | 1 mL of 2 mg mL−1 BSA aqueous solution (pH = 4) | 
| Extractant (10 mg) | Fe3O4 | Fe3O4/APTES/GO | Fe3O4/APTES/GO/IL4 | 
| Absorbance | 0.929 | 0.653 | 0.374 | 
| 0.925 | 0.656 | 0.375 | 
| 0.920 | 0.657 | 0.378 | 
| Concentration (mg mL−1) | 1.5036 | 1.0646 | 0.6087 | 
| Extraction amount (mg g−1) | 49.6 | 93.5 | 139.1 | 
3.4 Desorption studies
Desorption study is relatively important during the whole MSPE procedure, so a series of desorption experiments were carried out. It is well known that hydrogen bonds were unstable under alkaline condition. Furthermore, the extraction capacity of Fe3O4/APTES/GO/IL4 decreased at high ionic strength. Accordingly, 0.8 mol L−1 K2HPO4 contained 1 mol L−1 NaCl was chosen as the eluent. During the desorption process, the eluent weakened the hydrogen bonds and the electrostatic interactions between protein and Fe3O4/APTES/GO/IL4, and then the protein was released.
1 mL, 2.0 mg mL−1 of BSA aqueous solution (pH = 4) was treated with 10 mg of Fe3O4/APTES/GO/IL4. The amount of BSA adsorbed on 10 mg of Fe3O4/APTES/GO/IL4 was calculated. After extraction, the magnetic particles were washed with selected eluent. The elution efficiency, defined as the ratio of the amount of protein in eluent to the amount of protein initially adsorbed on Fe3O4/APTES/GO/IL4, was calculated. The result shows that the elution efficiency was about 95.5%.
Circular dichroism (CD) spectroscopy is a powerful technique for the analysis of protein secondary structures.52 Therefore, the CD spectra of BSA (before extraction and after desorption) have been recorded to study the secondary structures of BSA. It is known that the double negative peaks at 210 nm and 220 nm are characteristic of α-helical structure of protein.53,54 In the obtained CD spectra (presented in Fig. 10), it is clear that the spectral shape of BSA (before extraction and after desorption) are similar and the double peaks appear at the same wavelengths, meaning that the secondary structures of BSA eluted from the solid extractants remained.
|  | 
|  | Fig. 10  The CD spectra of BSA in different media. |  | 
3.5 Practical application
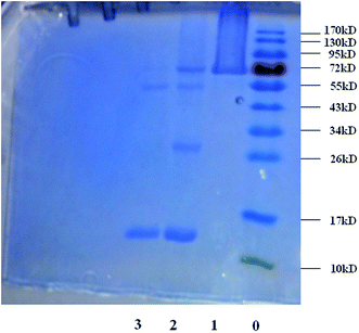
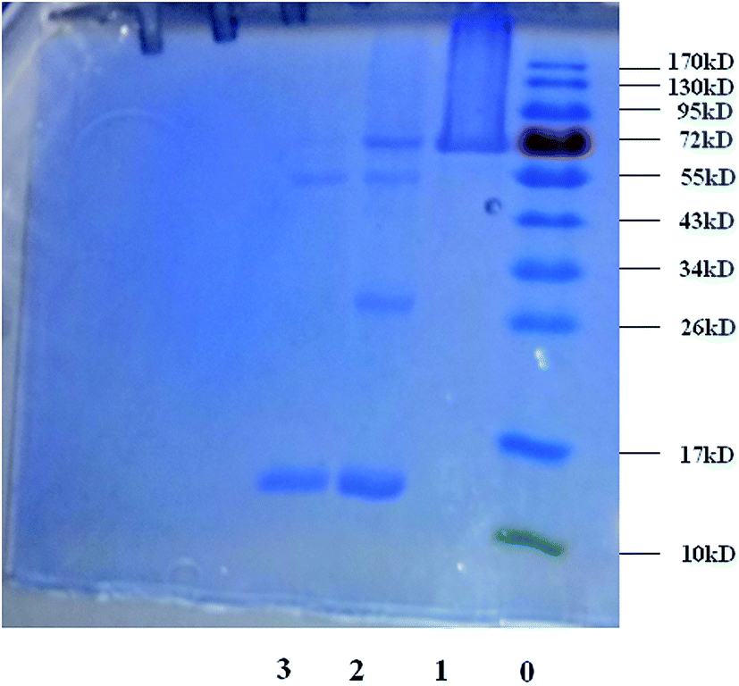
This section mainly studied about the practical applicability of Fe3O4/APTES/GO/IL4. Bovine calf whole blood was chosen as the real sample. The electrophoresis results were illustrated in Fig. 11. Lane 1 and lane 2 represent the standard protein of BSA and bovine calf whole blood diluted 100-fold, respectively. Lane 3 exhibits the supernatant of the bovine calf whole blood after treatment with Fe3O4/APTES/GO/IL4. It was found from lane 3 that the band of BSA faded apparently in comparison to lane 2. In addition, changes in other bands also can be observed. The electrophoresis results suggested that Fe3O4/APTES/GO/IL4 possessed extraction capacity for BSA in the bovine calf whole blood sample and also co-extracted others.
|  | 
|  | Fig. 11  The results of SDS-PAGE analysis for the extraction of protein from bovine calf whole blood. Lane 0: protein molecular weight marker; lane 1: a pure BSA solution; lane 2: bovine calf whole blood diluted 100-fold; lane 3: bovine calf whole blood after treatment with Fe3O4/APTES/GO/IL4. |  | 
3.6 Methodological investigation
A series of experiments were carried out to validate the precision, repeatability and stability of the proposed method. Apparatus precision was evaluated by measuring the absorbance value of the protein in the supernatant for three times under the same conditions. The relative standard deviation (RSD) of the extraction amount is 0.35% (n = 3), demonstrating that the precision of the UV-vis spectrophotometer is excellent. Repeatability experiment was performed by testing three copies of the same sample at the same conditions. The obtained RSD is 0.38% (n = 3), indicating the method was repeatable. Stability experiment was investigated by monitoring a sample continuously in three days under the same conditions. The value of RSD is 0.79% (n = 3), proving the good stability of the proposed method.
4. Conclusion
In this work, the proposed Fe3O4/APTES/GO/IL combines the advantages of betaine-based ILs, GO and Fe3O4 nanoparticles, exhibiting many unique performances which cannot be achieved by either component alone. The environmentally friendly betaine-based ILs were directly synthesized by neutralization, and then high atomic utilization rate will be obtained. In the extraction of BSA, the proposed Fe3O4/APTES/GO/IL is more superior to bare Fe3O4 nanoparticles and Fe3O4/APTES/GO. To evaluate the practical applicability of Fe3O4/APTES/GO/IL, bovine calf whole blood was used as the real sample. The SDS-PAGE analysis suggested that the BSA in bovine calf whole blood really could be well extracted by the proposed Fe3O4/APTES/GO/IL, and other proteins also could be co-extracted. Accordingly, the proposed method not only can be successfully applied for the extraction of protein but also exhibits potential applications in bio-separation.
Acknowledgements
The authors greatly appreciate the financial supports by the National Natural Science Foundation of China (no. 21375035; no. J1210040) and the Foundation for Innovative Research Groups of NSFC (grant 21221003).
References
- A. Berthod, M. J. Ruiz-Angel and S. Carda-Broch, J. Chromatogr. A, 2008, 1184, 6–18 CrossRef CAS PubMed.
- M. Deetlefs and K. R. Seddon, Green Chem., 2010, 12, 17–30 RSC.
- J. Dupont, R. F. de Souza and P. A. Z. Suarez, Chem. Rev., 2002, 102, 3667–3692 CrossRef CAS PubMed.
- K. Fukumoto, M. Yoshizawa and H. Ohno, J. Am. Chem. Soc., 2005, 127, 2398–2399 CrossRef CAS PubMed.
- N. Moheimanian, J. B. Raoof, A. Safavi and R. Ojani, J. Iran. Chem. Soc., 2014, 11, 1217–1222 CrossRef CAS.
- X. H. Liu, C. H. Bu, Z. H. Nan, L. C. Zheng, Y. Qiu and X. Q. Lu, Talanta, 2013, 105, 63–68 CrossRef CAS PubMed.
- B. Wiredu and A. S. Amarasekara, Catal. Commun., 2014, 48, 41–44 CrossRef CAS.
- P. H. Li, B. L. Li, H. C. Hu, X. N. Zhao and Z. H. Zhang, Catal. Commun., 2014, 46, 118–122 CrossRef CAS.
- R. X. Zhang, P. Su, L. Yang and Y. Yang, J. Sep. Sci., 2014, 37, 1503–1510 CrossRef CAS PubMed.
- J. Chen, Y. Z. Wang, Y. H. Huang, K. J. Xu, N. Li, Q. Wen and Y. G. Zhou, Analyst, 2015, 140, 3474–3483 RSC.
- M. Sprynskyy, T. Kowalkowski, H. Tutu, E. M. Cukrowska and B. Buszewski, Colloids Surf., A, 2015, 465, 159–167 CrossRef CAS.
- D. L. Xiao, D. H. Yuan, H. He, C. Pham-Huy, H. Dai, C. X. Wang and C. Zhang, Carbon, 2014, 72, 274–286 CrossRef CAS.
- J. W. Liu, M. M. Wang, Y. Zhang, L. Han, X. W. Chen and J. H. Wang, RSC Adv., 2014, 4, 61936–61943 CAS.
- R. S. Varma, Pure Appl. Chem., 2013, 85, 1703–1710 CrossRef CAS.
- K. R. Reddy, K. P. Lee, A. I. Gopalan, M. S. Kim, A. M. Showkat and Y. C. Nho, J. Polym. Sci., Part A: Polym. Chem., 2006, 44, 3355–3364 CrossRef CAS.
- K. R. Reddy, B. C. Sin, C. H. Yoo, W. Park, K. S. Ryu, J. S. Lee, D. Sohn and Y. Lee, Scr. Mater., 2008, 58, 1010–1013 CrossRef CAS.
- M. Kishimoto, M. Minagawa, H. Yanagihara, T. Oda, N. Ohkochi and E. Kita, J. Magn. Magn. Mater., 2012, 324, 1285–1289 CrossRef CAS.
- A. de Bonis, T. Lovaglio, A. Galasso, A. Santagata and R. Teghil, Appl. Surf. Sci., 2015, 353, 433–438 CrossRef CAS.
- A. Rostami, B. Tahmasbi, H. Gholami and H. Taymorian, Chin. Chem. Lett., 2013, 24, 211–214 CrossRef CAS.
- S. Y. Wei, Z. P. Dong, Z. Y. Ma, J. Sun and J. T. Ma, Catal. Commun., 2013, 30, 40–44 CrossRef CAS.
- M. Pal, R. Rakshit and K. Mandal, ACS Appl. Mater. Interfaces, 2014, 6, 4903–4910 CAS.
- K. R. Reddy, W. Park, B. C. Sin, J. Noh and Y. Lee, J. Colloid Interface
Sci., 2009, 335(1), 34–39 CrossRef CAS PubMed.
- K. R. Reddy, K. P. Lee and A. I. Gopalan, Colloids Surf., A, 2008, 320, 49–56 CrossRef CAS.
- K. R. Reddy, K. P. Lee, J. Y. Kim and Y. Lee, J. Nanosci. Nanotechnol., 2008, 8, 5632–5639 CrossRef CAS PubMed.
- A. K. Tucker-Schwartz and R. L. Garrell, Chem.–Eur. J., 2010, 16, 12718–12726 CrossRef CAS PubMed.
- J. R. Meng, C. Y. Shi, B. W. Wei, W. J. Yu, C. H. Deng and X. M. Zhang, J. Chromatogr. A, 2011, 1218, 2841–2847 CrossRef CAS PubMed.
- G. Q. Xie, P. X. Xi, H. Y. Liu, F. J. Chen, L. Huang, Y. J. Shi, F. P. Hou, Z. Z. Zeng, C. W. Shao and J. Wang, J. Mater. Chem., 2012, 22, 1033–1039 RSC.
- R. Z. Zhang, P. Su and Y. Yang, J. Sep. Sci., 2014, 37, 3339–3346 CrossRef CAS PubMed.
- L. Fan, C. Luo and M. Sun, Colloids Surf., B, 2013, 103, 523–529 CrossRef CAS PubMed.
- X. J. Cao, L. X. Shen, X. M. Ye, F. F. Zhang, J. Y. Chen and W. M. Mo, Analyst, 2014, 139, 1938–1944 RSC.
- L. L. Li, C. N. Luo, X. J. Li, H. M. Duan and X. J. Wang, Int. J. Biol. Macromol., 2014, 66, 172–178 CrossRef CAS PubMed.
- X. Q. Ding, Y. Z. Wang, Y. Wang, Q. Pan, J. Chen, Y. H. Huang and K. J. Xu, Anal. Chim. Acta, 2015, 861, 36–46 CrossRef CAS PubMed.
- L. Vidal, M. L. Riekkola and A. Canals, Anal. Chim. Acta, 2012, 715, 19–41 CrossRef CAS PubMed.
- M. Petkovic, K. R. Seddon, L. P. N. Rebelo and C. Silva Pereira, Chem. Soc. Rev., 2011, 40, 1383–1403 RSC.
- M. Petkovic, J. L. Ferguson, H. Q. N. Gunaratne, R. Ferreira, M. C. Leitao, K. R. Seddon, L. P. N. Rebelo and C. Silva Pereira, Green Chem., 2010, 12, 643–649 RSC.
- Y. Fukaya, Y. Iizuka, K. Sekikawa and H. Ohno, Green Chem., 2007, 9, 1155–1157 RSC.
- E. Coronado, A. Forment-Aliaga, A. Gaita-Arino, C. Gimenez-Saiz, F. M. Romero and W. Wernsdorfer, Angew. Chem., Int. Ed., 2004, 43, 6152–6156 CrossRef CAS PubMed.
- P. Nockemann, B. Thijs, S. Pittois, J. Thoen, C. Glorieux, K. V. Hecke, L. V. Meervelt, B. Kirchner and K. Binnemans, J. Phys. Chem. B, 2006, 110, 20978–20992 CrossRef CAS PubMed.
- B. Q. Yang, Q. H. Zhang, Y. Q. Fei, F. Zhou, P. X. Wang and Y. Q. Deng, Green Chem., 2015, 17, 3798–3805 RSC.
- D. Villemin and M. A. Didi, Orient. J. Chem., 2013, 29, 1267–1284 CrossRef CAS.
- Z. Y. Li, X. X. Liu, Y. C. Pei, J. J. Wang and M. Y. He, Green Chem., 2012, 14, 2941–2950 RSC.
- M. Zhang, Y. Z. Wang, X. P. Jia, M. Z. He, M. L. Xu, S. Yang and C. J. Zhang, Talanta, 2014, 120, 376–385 CrossRef CAS PubMed.
- J. Safari and Z. Zarnegar, J. Mol. Struct., 2014, 1072, 53–60 CrossRef CAS.
- Y. H. Huang, Y. Z. Wang, Q. Pan, Y. Wang, X. Q. Ding, K. J. Xu, N. Li and Q. Wen, Anal. Chim. Acta, 2015, 877, 90–99 CrossRef CAS PubMed.
- T. Yoon, J. Kim, J. Kim and J. K. Lee, Energies, 2013, 6, 4830–4840 CrossRef CAS.
- Q. Han, Z. H. Wang, J. F. Xia, S. Chen, X. Q. Zhang and M. Y. Ding, Talanta, 2012, 101, 388–395 CrossRef CAS PubMed.
- A. M. Showkat, Y. P. Zhang, M. S. Kim, A. I. Gopalan, K. R. Reddy and K. P. Lee, Bull. Korean Chem. Soc., 2007, 28, 1985–1992 CrossRef CAS.
- K. R. Reddy, K. P. Lee, A. I. Gopalan and H. D. Kang, React. Funct. Polym., 2007, 67, 943–954 CrossRef CAS.
- R. L. Souza, S. P. M. Ventura, C. M. F. Soares, J. A. P. Coutinho and A. S. Lima, Green Chem., 2015, 17, 3026–3034 RSC.
- R. Sitko, B. Zawisza and E. Malicka, TrAC, Trends Anal. Chem., 2013, 51, 33–43 CrossRef CAS.
- J. B. Liu, S. H. Fu, B. Yuan, Y. L. Li and Z. X. Deng, J. Am. Chem. Soc., 2010, 132, 7279–7281 CrossRef CAS PubMed.
- L. Whitmore and B. A. Wallace, Biopolymers, 2008, 89, 392–400 CrossRef CAS PubMed.
- Y. Yue, H. W. Li, T. Y. Liu and Y. Q. Wu, Vib. Spectrosc., 2014, 74, 137–141 CrossRef CAS.
- C. B. Xu, J. L. Gu, X. P. Ma, T. Dong and X. L. Meng, Spectrochim. Acta, Part A, 2014, 125, 391–395 CrossRef CAS PubMed.
| 
 | 
| This journal is © The Royal Society of Chemistry 2016 | 
Click here to see how this site uses Cookies. View our privacy policy here.