Metabolomics study on serum of allergic bronchial asthma rabbits treated by Recuperating Lung decoction

Qi Shi a, Yanhua Kongb, Bo Heb, Xinxin Chenb, Yue Yana and Youlin Li*a
aThe Key Institute of State Administration of Traditional Chinese Medicine (pneumonopathy chronic cough and dyspnea), Beijing Key Laboratory (NO. BZ0321), China-Japan Friendship Hospital (100029), Beijing, China. E-mail: shiqi19830910@163.com; lyl19610721@163.com; Fax: +86-010-84205823; Tel: +86-010-84205823
bBeijing University of Chinese Medicine (100029), Beijing, China

Received 17th November 2014 , Accepted 12th January 2015

First published on 12th January 2015


Abstract

This study further completes the method of Recuperating Lung decoction by intervening in the mechanism of asthma on the basis of the successful foundation of the rabbit asthma model and the effective model evaluation guided by the Traditional Chinese Medicine (TCM) theory and applying the method of metabolomics. A total of 34 types of metabolites were detected from the serum of rabbits, and 7 types of metabolites were statistically significant after statistic comparison, including valine, malic acid, gluconic acid, galactose, pyran glucose, 6-deoxidation mannopyranose and stearic acid. The content of some metabolites changed in the model and treatment groups compared with the blank group. It could be speculated that the change was affected by the modeling and drug treatment. According to the results of the study, the increased content of valine, gluconic acid and malic acid, as well as the decreased content of galactose, pyran glucose, 6-deoxidation mannopyranose and stearic acid, in the model group serum might be closely related to the inflammatory process in the pathogenesis of bronchial asthma. All the 7 types of metabolites changed obviously after treatment with the Recuperating Lung decoction. Therefore, the Recuperating Lung decoction is closely related to the abovementioned change in the 7 types of metabolites and to the regulation and control of the asthma cytokine network. This study explored a new mode in the study of Recuperating Lung decoction intervention in the metabolomics change of an asthmatic animal model, and it has important theoretical and practical significance in the deep discussion on the TCM clinical and basic theory in the application of the newest technique and achievement of life science.


1. Introduction

Bronchial asthma (asthma), a chronic disease, is a serious threat to the public health worldwide. It is a type of allergic disease characterized by airway hyper responsiveness (AHR) and chronic airway inflammation and airway inflammation involving eosinophil cells (EOS), mast cells, T lymphocytes and other inflammatory cells and cytokines.

The recently developed metabolomics technology is a powerful tool that provides standardization for TCM.1 The theoretical principle of metabolomics and the “governing exterior to infer interior” of TCM have a good meeting point. It analyzes biological metabolites, and then finds the corresponding relationships between the metabolites and the physiological and pathological changes of the body.2 Gas chromatography-mass spectrometry (GC-MS) is expected to develop into a powerful tool for the study metabolomics and provide an integral mass spectrometry database, simple operation, relatively low cost and strong separation analysis capabilities.3

In this study, we established an asthmatic rabbit model by injecting and atomizing ovalbumin (OVA) in sterile rabbits, and evaluated the models by the general condition of the animals, pathological changes of their lungs, and the eosinophil count in their serum. Then, we analyzed the metabolites changes in serum detected by GC-MS method in order to find possible metabolic markers of asthma.

2. Materials and methods

Animal samples and grouping

21 purebred white sterile New Zealand rabbits, male and female, 2 months of age, with an average weight of 1.5 kg (provided by the Beijing Haidian Xingwang experimental animal breeding plant) were randomly divided into three groups (blank control group, model group and Traditional Recuperating Lung formula group, n = 7). The animals were fed and supplied with water as per their requirement. The temperature was maintained between 16–29 °C, the humidity was 40–70%, and the noise was controlled below 60 dB.

Main reagents and instruments

Egg protein powder (OVA) III level was provided by Sigma Company (USA); methyl alcohol (100%) and ribitol phosphate were provided by Beijing Chemicals Company. The 402-A ultrasonic atomizer was provided by Jiangsu Yuwell Medical Equipment & Supply Limited Company (Co., Ltd). The image automatic analysis system was provided by Beijing Precil Instrument Co., Ltd. The HP6890GC-TOF-MS gas chromatograph and Zabspe high resolution magnetic type mass spectrometer was provided by United States Waters Corporation.

Establishment and evaluation of the rabbit model with allergic bronchial asthma

Methods of establishing the model. After 7 days of adaptive breeding, the model group and treatment group rabbits were sensitized by intraperitoneal injection with 10% OVA in 0.9% saline. The blank control group rabbits received the equivalent dose of saline only. Every rabbit was injected once. The model group and treatment group were injected with 1.2 ml kg−1 of OVA; the blank control group rabbits were given the equivalent dose of saline only. After 14 days, the rabbits were placed in a closed container, which was connected with the 402-A ultrasonic atomizer, and the model group and treatment group rabbits were exposed to an aerosol of 1% OVA in 0.9% saline for 7 days, once a day (non-sensitized blank control group received saline only). We stopped atomization and opened the container 1–2 min after the first 8–10 min atomization to avoid suffocation, then repeated the 8–10 min atomization process second and the third time.
Methods of evaluating the model. The evaluation standard of the model includes three aspects: first, the general condition of the rabbits: respiratory rate, cyanosis or not, activity, urination, and defecation. Second, pathologic tissue slices: the main expression is inflammatory cell infiltration around the airways, such as EOS. Third, the detection of EOS count in venous serum.

Methods of intervention-decoction preparation and intragastric administration

The formulation of the Recuperating Lung decoction: raw astragalus, cassia twig, perilla, lily magnolia, dried ginger, cornus, Fructus Schisandrae, dark plum, bristle inula, magnolia bark, Rhizoma Anemarrhenae, radix Glycyrrhizae (all the drug dosage could not be listed to keep the prescription secret). All the herbal components of Chinese medicine in the Recuperating Lung decoction were obtained from Beijing Tongrentang Pieces Company, and tested, which showed that all of them were up to the standard of the Chinese Pharmacopoeia (2010 edition). The extraction of the active components of this Recuperating Lung decoction was carried out by the water-boiling method. 1 g (crude drug) = 0.174 g (powder), the crude drug (each rabbit and each day) = 1.122 g kg−1 × 1.5 kg ≈ 2 g, and the powder (each rabbit and each day) = 2 g × 0.174 g ≈ 0.35 g.

The rabbits were treated with 7 days of continuous atomization; intermittent for 3 days, and on the fourth day the rabbits were given intragastric administration for 3 days. The intragastric administration operation steps: first, the powder was dissolved with 20 ml warm boiled water (each rabbit used 20 ml of the solution). Second, the rabbit was fastened to a rabbit hold box and a mouth gag was fastened to the inter incisor of the rabbit, and with the small hole of the mouth gag, an intragastric administration tube was inserted into the mouth of the rabbit (insert about 18 cm and along the throat rear mucosal wall to the esophagus). Then, the external openings of the intragastric administration tube were put into water with a beaker. We observed if there were air bubbles, and if there were, we connected the openings with an injector of 20 ml solution, and injected it all. Finally, 10 ml normal saline was injected into the tube to make sure that there was no solution left over. (Injected isodose was 0.9% saline into the stomach of blank control group and model group rabbits.)

Serum specimen collection

When atomization sensitizing was finished on the 7th day, we waited for an hour and took venous blood samples of the blank control group and model group for eosinophil count detection. After the intragastric administration treatment, we collected venous blood samples of the three groups that were used in the metabolomics detection.

Eosinophil count

The venous blood was maintained at room temperature for 30 min and centrifuged (400 rpm × 5 min). When it was dry, it was stained with Wright–Giemsa stain for 30 min, and then dried again after washing out the stain. We used a well-distributed low power (10×) field, and then used a high power field (100×) for the WBC differential count, and counted 100 cells in each sample and only chose the eosinophil count for statistical analysis.

Metabolomics detection analysis

GC-MS methods and parameters. Sample pretreatment: 500 μl methanol (100%) and 20 μl ribitol stock solution were added to 100 μl thawed serum samples. After the extraction and derivatization reaction, 0.3 μl sample was injected into the GC-MS system for analysis in a split ratio of 25[thin space (1/6-em)]:[thin space (1/6-em)]1. The system was composed of a HP 6890 gas chromatography instrument and time-of-flight mass spectrometer, and the chromatographic column was a 30 meter DB-1 column. The temperature of the sample injection was 230 °C, the interface temperature was 290 °C, and the ion source temperature was 220 °C. Ionization energy was 70 eV, and the carrier gas (He) flow rate was set to 1 ml min−1. The solvent was delayed for 5 min, temperature was set at 70 °C for 5 min and then gradually raised to 310 °C with a speed of 5 °C min−1, and then uniformly cooled down to 70 °C within 1 min. Finally, it was returned to the starting temperature after a 5 min delay. To identify the metabolites, we comprehensively compared the mass spectra of each peak with the NIST library and standard library.
Metabolomics data processing method. The common peaks were selected based on the retention time of each peak in the GC-MS total ion current and the spectra and retention index between the detected compounds and the U.S. National Institute of Standards and Technology Research Institute (NIST) library (2008) were compared. The identification results were trusted if the matching degree was greater than 80%. The obtained peak area data and the content of the metabolites were represented by the percentage of the peak area.

Statistical methods

Partial least squares regression analysis (PLS-DA) was applied to comprehend the inner rules of variables in the data. PLS-DA was completed with the software “MetaboAnalyst 2.0 online”. (Online web site: http://www.metaboanalyst.ca/MetaboAnalyst/).

With application of the SAS V8 software, the model group and blank control group were tested by the variance of homogeneity and normality, and then Wilcoxon test was applied to the data. The asthma model could be used for experimental research if the P-value was less than 0.05. The metabolite content differences among the three groups were tested with the one-way ANOVA analysis method after the inspection of normal distribution and homogeneity of variance, and the measurement data was represented as χ ± s (“χ” is “mean”, “s” is “standard deviation”).

3. Results

Evaluation results of asthma model

Rabbit general states. Model group: symptoms such as fantod and restlessness, shortness of breath, abdominal muscle spasm, cyanosis of lips and nose, urinary and fecal incontinence and slow locomotory movement. In severe cases, respiratory depression or dysrhythmias, limb collapse, and dull reaction were observed. The blank control group did not show any of the abovementioned symptoms.
HE staining results of rabbits lung tissue. Macroscopic observation: the lungs were uniformly swollen and their color was generally whitish with a number of irregular dark red congestion areas, some of which had mucous secretions effusion.

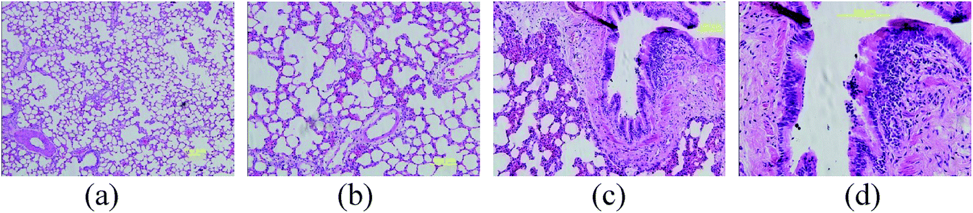
Under a light microscope, it was observed that EOS infiltrated the lung tissue and bronchi of the model group, and airway epithelial ciliated cells disappeared, with many places fractured and fallen off. Inflammatory cells infiltrated the pulmonary interstitial tissue and alveolar cavity. Besides, we could see that bronchial EOS infiltration continued to exist; forming a cell mucus plug located in the duct accompanied with the epithelium falling off and tissue edema. Bronchial smooth muscle was presented with mild hypertrophy, mild thickening of bronchial wall, mucus secretion, and increasing of goblet cells. All the abovementioned observations showed that the OVA-sensitized rabbit allergic bronchial asthma model was established. The rabbit airway was present with airway inflammation mainly composed of EOS infiltration, and showed the pathological state of AHR (see Fig. 1).


image file: c4ra14710c-f1.tif
Fig. 1 HE staining of blank control and model groups. Note: (a) and (b) were blank control groups under a light microscope (10× and 20×). The alveolar-interstitial were normal and bronchial epithelial cells were arranged in neat rows. There were no cramps and no thickness in the vessel walls. (c) and (d) were model groups under a light microscope (20× and 40×). Typical bronchial epithelial cells exfoliated into pieces, disorganized, and inflammatory infiltration can be observed.
Results of serum eosinophil count. The serum eosinophil count in the model group was higher than that in the blank control group, and there was a significant difference between the two groups (P < 0.05) (see Table 1 and Fig. 2).
Table 1 Category counts test results of serum eosinophils (n = 7, %)
Group n Cell count Eosinophils Neutrophils Lymphocytes Macrophages
a Note: Compared to the blank control group, P < 0.05.
Blank control group 1 100 0 4 3 93
2 100 0 0 2 98
3 100 0 5 2 93
4 100 2 3 4 91
5 100 3 3 5 89
6 100 3 5 2 90
7 100 2 0 5 93
Model group 1 100 10a 30 8 52
2 100 9a 32 7 52
3 100 12a 25 6 57
4 100 8a 26 3 63
5 100 16a 30 6 48
6 100 5a 28 7 60
7 100 9a 33 5 53



image file: c4ra14710c-f2.tif
Fig. 2 Serum smears of blank control and model groups. Note: (a) was blank control group and (b) was model group.

Selected vision of cells distributed evenly in the serum smears of blank control and model groups; both the groups had the expression of eosinophils, and the expression in the model group was significantly higher than the blank control group.

Results of serum metabolomics

Result of metabolites identification. 34 metabolites were tested and identified in the serum samples from all three groups (blank control, model and Recuperating Lung formula groups). The names and retention times of these metabolites are listed in Table 2.
Table 2 The name and retention time of the same metabolites
No. Retention time (min) Metabolites
1 6.27 Lactic acid
2 7.23 Alanine
3 8.13 Methoxy malonic acid
4 8.58 Hydroxybutyric acid
5 9.93 Valine
6 12.25 Glycine
7 12.88 Glyceric acid
8 13.65 Serine
9 14.28 Threonine
10 16.35 Aspartic acid
11 16.87 Malic acid
12 17.57 5-Hydroxy proline
13 17.72 Hydroxy proline
14 20.14 Twelve alkyl acid methyl ethyl ester
15 24.29 Isocitric acid
16 25.34 Fructose
17 27.05 Gluconic acid
18 23.17 Arabia furanose
19 24.2 Ornithine
20 25.82 Glucose
21 26.24 Galactose
22 26.42 Lysine
23 26.7 Tyrosine
24 27.52 Pyran glucose
25 28.47 6-Deoxidation mannopyranose
26 28.84 Palmitic acid
27 29.5 Inositol
28 31.79 9,12-Eighteen carbon two acid
29 31.9 Oleic acid
30 32.42 Stearic acid
31 34.836 Galactose
32 33.036 Galacturonic acid
33 35.07 Inositol monophosphate
34 45.52 Cholesterol


Result of PLS-DA score and loading plots. The meaning of the score plot: the figure is a type of score coordinate diagram of each sample after the modeling operation. It is generally shown in a two-dimensional or three-dimensional form. The aim of the PLS-DA is to observe whether there are significant differences among the groups, i.e., a visualization process of differences. The results of the score plots showed that the metabolites in the serum samples from the three groups were clearly separated in the quadrant; it explained that there were significant differences among the metabolites of the groups. This difference was more obvious between the Recuperating Lung formula and the model group.

The meaning of the loading plot: it is obtained corresponding to the score plot. It shows which variables contribute much more to the distinction among the groups. Therefore, the purple red dots in the loading plot were representations of each variable, and it also was clear for each metabolic component. The closer the variable is to the origin, the less contribution it has, whereas the further that the variable is from the origin, the greater contribution it has (see Fig. 3).


image file: c4ra14710c-f3.tif
Fig. 3 PLS-DA score and loading plots of the three groups. Note: 0: blank control group (red); 1: model group (green); 2: Recuperating Lung formula group (blue). (a) Overview plot; (b) 2 score plot; (c) 3 score plot; (d) loading plot. For PLS-DA cross validation details, R2 = 0.96162, Q2 = 0.23159, and accuracy = 0.71429.
Result of VIP value of each variable. The variable importance in the projection (VIP results showed the top 15 significant features of the metabolite markers based on the VIP projection: twelve alkyl acid methyl ethyl esters, palmitic acid, arabia furanose, 6-deoxidation mannopyranose, hydroxybutyric acid, glucose, 5-hydroxy proline, fructose, ornithine, gluconic acid, galactose, threonine, alanine, isocitric acid, and hydroxybutyric acid). These variables had more contributions to the classification (see Fig. 4).
image file: c4ra14710c-f4.tif
Fig. 4 The VIP value of the variables. Note: 0: blank control group; 1: model group; 2: Recuperating Lung formula group. 6-Deoxidation mannopyranose, for example, was expressed highest in the blank control group (red box), followed by the Recuperating Lung formula group (yellow box), and the model group was the lowest (green box) on the right side.
Result of hierarchical clustering. Hierarchical clustering is commonly used for unsupervised clustering analysis. Agglomerative hierarchical clustering begins with each sample as a separate cluster and then proceeds to combine them until all of the samples belong to one cluster. The result is usually presented as a dendrogram or heat map.

The results showed that the blank control group, model group and Recuperating Lung formula group could be efficiently distinguished (see Fig. 5).


image file: c4ra14710c-f5.tif
Fig. 5 The dendrogram and heat map of hierarchical clustering. Note (a) the dendrogram for the three groups; (b) the heat map for the three groups; 0: blank control group; 1: model group; 2: Recuperating Lung formula group.
Statistical analysis results of metabolites in serum. The peak areas of the 34 identified metabolites in the serum samples from all three groups were chosen for one-way ANOVA statistical analysis. The results showed that the metabolites valine, malic acid, gluconic acid, galactose, pyran glucose, 6-deoxidation mannopyranose and stearic acid were different among the three groups, and their P values are listed in Table 3. Multiple comparisons among the three groups showed that valine, malic acid, gluconic acid, pyran glucose and stearic acid in the model group had significant differences compared to the blank control group (P < 0.05). The comparison showed that the metabolites in the model group and Recuperating Lung formula group, valine, malic acid, gluconic acid, galactose, 6-deoxidation mannopyranose and stearic acid were different (P < 0.05) (see Table 3).
Table 3 One-way ANOVA analysis results of the peak area
Metabolites Area (χ ± s)
Blank control group (n = 7) Model group (n = 7) Recuperating Lung formula group (n = 7) P value
a Note: compared to the blank control group, P < 0.05.b Note: compared to the model group, P < 0.05.
Valine 11[thin space (1/6-em)]055 ± 2269 23[thin space (1/6-em)]244 ± 16[thin space (1/6-em)]284a 10[thin space (1/6-em)]241 ± 5250b 0.044
Malic acid 486 ± 249 2092 ± 948a 453 ± 244b 0.000
Gluconic acid 898 ± 308 2172 ± 1684a 553 ± 133b 0.017
Galactose 10[thin space (1/6-em)]788 ± 4507 4349 ± 1458 17[thin space (1/6-em)]369 ± 10[thin space (1/6-em)]007b 0.005
Pyran glucose 13[thin space (1/6-em)]333 ± 4393 6308 ± 3523a 8911 ± 5818 0.036
6-Deoxidation mannopyranose 15[thin space (1/6-em)]688 ± 2808 11[thin space (1/6-em)]812 ± 3459 18[thin space (1/6-em)]714 ± 4466b 0.008
Stearic acid 30[thin space (1/6-em)]913 ± 3227 30[thin space (1/6-em)]422 ± 2379a 26[thin space (1/6-em)]378 ± 4159b 0.039


4. Discussion

Compared with transcriptomics and proteomics, metabolomics has obvious advantages. First, the small changes in gene and protein expression are amplified in metabolites, which makes the detection considerably easier; second, in metabolomics, it is not necessary to form the whole genome sequencing or the database for a large sequence tag expression; third, the number of metabolite varieties are far less than genes and proteins; and fourth, the study technology is commonly used because the metabolites in tissues are similar.4

Currently, there are many reports about the relationship of metabolomic studies and asthma. In the early diagnosis of asthma, Carraro S et al. found the correct identification rate of the metabolomics model (86%), using NMR to collect and detect the exhaled gas condensate of 25 asthmatic children in 15 min, which was higher than that of traditional NO binding FEV1 indicators (about 81%), and concluded that oxides and acetylated metabolites can be used as biomarkers.5 Saude EJ et al. found that the model established on the differences of 30 types of urine metabolites could distinguish the stable type and unstable type of asthma and other diseases. Moreover, in a dichotomy model, the correct identification rate of the stable type from unstable and normal children is 94%. In this model, citrate metabolism and energy metabolism are the major pathways that are involved.6 Using 1H-NMR and multivariate statistical analysis, Jung J et al. found that in the group of 39 asthma cases, the level of endogenous metabolites, such as methionine, glutamine and histidine, was higher and that of formate, methanol, acetate, choline, arginine and glucose was lower in serum than the blank control group. The level of the metabolites connection with the severity of asthma is certain and the lipid metabolism significantly changed in patients with a lower FEV1%.7 Using LC-MS collection and multivariate analysis, Mattarucchi E et al. found that in the group of 41 asthmatic children, the excretion of urocanic acid, methyl imidazole acetic acid and Ile-Pro fragment analogue in urine, decreased metabolism compared with normal children. The result implicated that these metabolites may be involved in inflammation.8

The results of this study suggest that the amino acid metabolism and carbohydrate metabolism of the asthma model group rabbits is more prominent compared with the blank control group and Recuperating Lung decoction group. More specifically, the major abnormal metabolism of amino acids is reflected in its higher level. Amino acids are important in human nutrition, thus amino acid metabolism research is the most important part in metabolomics. Studies confirmed that changes in the NO/arginine metabolic pathway played an important role in the process of inflammation and damage of asthma.9–11 In this study, the abnormal amino acid metabolism in rabbits indicated that most of them had excess nutrients; however, it may have resulted from the radical lipid peroxidation, which increases decomposed hormones, and thus increases energy consumption, resulting in a systemic lack of energy and certain amino acid increase. Valine is an important branched-chain amino acid for regulating glucose and protein metabolism.12 KF van der Sluijs et al. compared serum amino acid levels between a blank control group and allergic asthma patients and found that the allergic asthma patients had higher levels of arginine, proline, tryptophan, urine acid, phthalic amino acid, quinolinic acid, valine and leucine, which are consistent with our study, which shows the level change of valine.13 Wanxing Eugene Ho et al. used LC-MS and GC-MS, and their orthogonal projection discriminant analysis found that in the bronchoalveolar lavage fluid (BALF) of asthmatic mice, the level of energy metabolites, such as lactic acid, malic acid, and creatinine, increased and that of carbohydrates, such as mannose, galactose and arabinose, decreased. This suggested that airway inflammatory diseases need enormous energy.14 Malic acid is a metabolite of carbohydrates, providing additional energy in the form of adenosine triphosphate (ATP) by decomposing citric acid. The levels of malic acid metabolite are increased in abnormal breathing exercises, especially in the situation of hypoxia or inflammation.15 Although there are no clear reports about the relationship between malic acid level and asthma, the decrease of upstream products, such as fumarate acid and succinic acid, lead to the increase of malic acid involved in the citric acid cycle of asthma animals,16 which is consistent with the increase of malic acid in the model group and the decrease in the blank control group and Recuperating Lung decoction group. Arabinogalactan, which is an upstream metabolite of galactose, has been proven to have a protective effect on allergic asthma.17 Significantly, the galactose level and eosinophil and neutrophil levels were negatively correlated, indicating that these two cells may be associated with the reduced galactose.14 Galactose consumption may lead to airway inflammation in asthmatic mice, and increase the severity of the disease. This study showed that the amount of galactose, glucopyranose, 6-deoxy-mannopyranose level in the asthma model group decreased compared with the blank control group and Recuperating Lung decoction group, suggesting that airway inflammation needs enormous energy. In addition, this study also detected glucose and stearic acid. The current report does not prove that they are correlated with bronchial asthma, which will be further explained in future studies.

An allergy is considered the main factor in the pathological process of asthma;18 however, the TCM generally believe that an allergy is caused by the sluggishness of lung-wei (a kind of defensive qi in traditional medicine), dysfunction of the spleen and an insufficiency of qi and blood, and these as a whole lead to the dysfunction of zang-fu, which is mainly impacted by the lung and spleen and determines asthma attack and development.19,20 Clinical practice in TCM has proven that the right way to completely cure asthma is by restoring the function of the organs, including strengthening the spleen–stomach and consolidating the lung function.21,22 The lungs are the delicate zang-organ, and have the purifying and descending function, with physiological characteristics of being moist and not dry. Pulmonary atrophy due to excessive lung heat and an adverse rise of lung qi result in cough and panting. Thus, asthma is treated with herbs that are acrid in flavor, sweet, and sour. Acrid herbs that are sweet in property transform into yang, while herbs that are sour and sweet in flavor transform into yin. Herbs that are sweet and moistening, acrid and mild-natured can make lung qi to decrease.

Recuperating Lung decoction is the decoction based on TCM including 12 herbs. Modern pharmacological studies suggest that radix astragalus may inhibit the EOS airway inflammation in the process of asthma, and the mechanism may be related to the down regulation of STAT6 and mRNA expression.23 Astragalus polysaccharide can reduce airway hyper responsiveness in a mouse model, decrease the total amount of inflammatory cells, eosinophil and neutrophil ratio in BALF and improve the inflammatory cell infiltration around the bronchus, reducing the collagen deposition and mucus secretion of the bronchus wall, and thus relieve airway remodeling.24 Astragalus injection has a protective effect on asthma rats. The mechanism may be related to the inhibition of p38-MAPK phosphorylation, correction of IFN-γ/IL-4 imbalance and reduction of inflammatory cell infiltration.25 Cinnamic acid in the cassia twig can release bronchial smooth muscle. Fructus Schisandrae chinensis is rich in wooden fat elements, polysaccharides, volatile oils and a variety of other chemicals, and Fructus Schisandrae chinensis polysaccharide can improve immune functions for aging mice.26 Fructus Schisandrae chinensis polysaccharide without deproteinization and polysaccharides with deproteinization have obvious inhibitory effect on the mast cell degranulation in the process of allergic reaction in mouse ear skin or peritoneal cavity, and it also can stabilize mast cells and inhibit mast cell degranulation, thus indicating that polysaccharide extract has an anti-type I allergy effect.27

It is an important step in the modernization of TCM to use the clinical effective Chinese medicine decoction in animal models and explore the mechanism of the drug. Recuperating Lung decoction is a clinical prescription used for many years and has proven its remarkable efficacy in patients with a chronic duration of bronchial asthma. Through the result of PLS-DA score, loading plots and VIP value of each variable, we believe that the metabolites in the Recuperating Lung decoction that improve asthma are mainly the amino acids and carbohydrates, for example valine, galactose and 6-deoxidation mannopyranose. This study also showed an obvious disorder in energy and carbohydrate metabolism in the model group compared with the blank control group and Recuperating Lung decoction group, implicating that the inflammation process requires more energy.

In summary, the plasma metabolism characteristics of allergic bronchial asthma rabbit were associated with various abnormal metabolic pathways of carbohydrate metabolism, amino acid metabolism, and energy metabolism. The holism, dialectical and dynamic concept of the methods in metabolomics research is also consistent with the theory of the TCM “syndrome” theory. It may become a powerful tool for Chinese “empirical” research, thus revealing the biological essence of Chinese “syndrome”, providing more scientific and objective indicators and evidence for clinical syndrome differentiation. Therefore, it is imperative to start comparative studies among large sample-volume research, basic research and clinical research, as well as the different detection methods and asthma metabolites present in different biological samples.

5. Conclusion

In summary, the plasma metabolic characteristics in allergic bronchial asthma rabbit models were related with metabolic pathways of amino acid metabolism, carbohydrate metabolism and energy metabolism. The results of PLS-DA, loading plots, VIP and ANOVA prompted the characteristic metabolic biomarkers in the blank control, model and Recuperating Lung formula groups. Selected characteristic metabolites not only can work as biomarkers of the disease to explain the pathogenesis of asthma, but also reflect the specialty of asthma metabolites to a certain extent. According to the results of the hierarchical clustering, the characteristic metabolites could basically achieve the distinction between the three groups.

Acknowledgements

This study was supported by the National Science Foundation of China (no. 81273744, 81173245 81302941 and 30772796); Beijing Natural Science Foundation of China (Key Project) (no. 7121013).

References

  1. M. Pan and Q. Chen, Shanghai Journal of Traditional Chinese Medicine, 2008, 42, 53–56 Search PubMed . (Chinese with abstract in English).
  2. J. K. Nicholson and I. D. Wilson, Nat. Rev. Drug Discovery, 2003, 2, 668–676 CrossRef CAS PubMed.
  3. V. Shulaev, Briefings Bioinf., 2006, 7, 128–139 CrossRef CAS PubMed.
  4. J. H. Li, Z. J. Shao, Z. R. Wang and J. Ma, Prog. Mod. Biomed., 2009, 9, 4786–4788 Search PubMed . (Chinese with abstract in English).
  5. S. Carraro, S. Rezzi, F. Reniero, K. Héberger, G. Giordano, S. Zanconato, C. Guillou and E. Baraldi, Am. J. Respir. Crit. Care Med., 2007, 175, 986–990 CrossRef CAS PubMed.
  6. E. J. Saude, I. P. Obiefuna, R. L. Somorjai, F. Ajamian, C. Skappak, T. Ahmad, B. K. Dolenko, B. D. Sykes, R. Moqbel and D. J. Adamko, Am. J. Respir. Crit. Care Med., 2009, 179, 25–34 CrossRef CAS PubMed.
  7. J. Jung, S. H. Kim, H. S. Lee, G. S. Choi, Y. S. Jung, D. H. Ryu, H. S. Park and G. S. Hwang, Clin. Exp. Allergy, 2013, 43, 425–433 CrossRef CAS PubMed.
  8. E. Mattarucchi, E. Baraldi and C. Guillou, Biomed. Chromatogr., 2012, 26, 89–94 CrossRef CAS PubMed.
  9. S. Ghosh, A. J. Janocha, M. A. Aronica, S. Swaidani, S. A. Comhair, W. Xu, L. Zheng, S. Kaveti, M. Kinter, S. L. Hazen and S. C. Erzurum, J. Immunol., 2006, 176, 5587–5597 CrossRef CAS.
  10. H. Maarsingh, J. Leusink, I. S. Bos, J. Zaagsma and H. Meurs, Respir. Res., 2006, 7, 6 CrossRef PubMed.
  11. A. Lara, S. B. Khatri, Z. Wang, S. A. A. Comhair, W. Xu, R. A. Dweik, M. Bodine, B. S. Levison, J. Hammel, E. Bleecker, W. Busse, W. J. Calhoun, M. Castro, K. F. Chung, D. Curran-Everett, B. Gaston, E. Israel, N. Jarjour, W. Moore, S. P. Peters, W. Gerald Teague, S. Wenzel, S. L. Hazen and S. C. Erzurum, Am. J. Respir. Crit. Care Med., 2008, 178, 673 CrossRef CAS PubMed.
  12. B. K. Ubhi, J. H. Riley, P. A. Shaw, D. A. Lomas, R. Tal-Singer, W. MacNee, J. L. Griffin and S. C. Connor, Eur. Respir. J., 2012, 40, 345–355 CrossRef CAS PubMed.
  13. K. F. van der Sluijs, M. A. van de Pol, W. Kulik, P. J. Sterk and R. Lutter, Am. J. Respir. Crit. Care Med., 2012, 185, A3932 Search PubMed.
  14. W. E. Ho, Y. J. Xu, F. Xu, C. Cheng, H. Y. Peh, S. R. Tannenbaum, W. S. Wong and C. N. Ong, Am. J. Respir. Cell Mol. Biol., 2013, 48, 204–211 CrossRef CAS PubMed.
  15. J. E. Wolak, C. R. Esther Jr and T. M. O'Connell, Biomarkers, 2009, 14(1), 55–60 CrossRef CAS PubMed.
  16. E. J. Saude, I. P. Obiefuna, R. L. Somorjai, F. Ajamian, C. Skappak, T. Ahmad, B. K. Dolenko, B. D. Sykes, R. Moqbel and D. J. Adamko, Am. J. Respir. Crit. Care Med., 2009, 179, 25–34 CrossRef CAS PubMed.
  17. M. Peters, M. Kauth, O. Scherner, K. Gehlhar, I. Steffen, P. Wentker, E. von Mutius, O. Holst and A. Bufe, J. Allergy Clin. Immunol., 2010, 126, 648–656 CrossRef CAS PubMed . e4.
  18. J. H. Lee, T. Haselkorn, B. E. Chipps, D. P. Miller and S. E. Wenzel, J. Asthma, 2006, 43, 179 CrossRef CAS PubMed.
  19. Q. Wang and Q. F. Luo, J. Beijing Univ. Tradit. Chin. Med., 2004, 27, 35 Search PubMed . (Chinese with abstract in English).
  20. F. Jiang, China J. Tradit. Chin. Med. Pharm., 2008, 23, 140–142 Search PubMed . (Chinese with abstract in English).
  21. Y. G. Zhang, Y. L. Li and M. He, SHANXI ZHONGYI, 2009, 25, 45–47 Search PubMed . (Chinese with abstract in English).
  22. Y. G. Zhang, Y. L. Li and M. He, SHANXI ZHONGYI, 2008, 24, 39–40 CAS . (Chinese with abstract in English).
  23. C. C. Li, L. P. Ye, X. C. Yu, M. R. Li and Y. C. Luo, Chin. Pharm. J., 2006, 41, 104–107 Search PubMed . (Chinese with abstract in English).
  24. J. F. Yu, S. P. Gu and X. Y. Yang, Tradit. Chin. Drug Res. Clin. Pharmacol., 2011, 22, 417–421 CAS . (Chinese with abstract in English).
  25. C. P. Huang, H. P. Yang, Y. Q. Yang, Z. X. Zhang and Y. J. Xu, Chin. J. Pathophysiol., 2008, 12, 2386–2390 Search PubMed . (Chinese with abstract in English).
  26. M. S. Miao, China J. Tradit. Chin. Med. Pharm., 2002, 17, 187–188 Search PubMed . (Chinese with abstract in English).
  27. M. Liu, Z. H. Zhang, J. F. Pan, S. C. Wang and S. S. Shi, Chin. Tradit. Pat. Med., 2012, 34, 629 Search PubMed . (Chinese with abstract in English).

Footnote

These authors contributed equally to the work.

This journal is © The Royal Society of Chemistry 2015
Click here to see how this site uses Cookies. View our privacy policy here.