Optimized PAMAM coated magnetic nanoparticles for simultaneous hyperthermic treatment and contrast enhanced MRI diagnosis†
Abstract
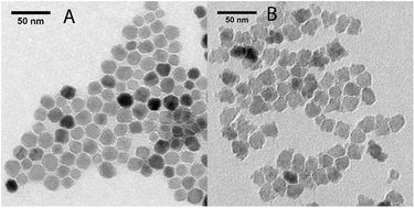
We report the synthesis and characterization of multi-functional monodisperse superparamagnetic Magnetic NanoParticles, MNPs, able to act as contrast agents for magnetic resonance and Magnetic Fluid Hyperthermia (MFH) mediators. The investigated samples are constituted of a magnetic core of magnetite and a biocompatible PAMAM coating. We studied two samples with the same magnetic volume but different shape, i.e. spherical and faceted. Despite the relatively large size (MNPs of 20 nm diameter) that generally leads to particles' aggregation and instability, the resulting samples were very stable. For faceted MNPs, the efficiency in contrasting Magnetic Resonance images, i.e. the nuclear transverse 1H NMR relaxivity r2, reached values of about 250/300 mM−1 s−1 at clinical frequencies f > 5 MHz, i.e. 2.5/3 times higher than the commercial compound Endorem, while the Specific Absorption Rate at Hac ∼ 10 kA m−1 and frequency f < 300 kHz (i.e. within the physiological limits) reaches 900 W g−1, suggesting this system as a potentially useful mediator for MFH. The experimental data strongly indicate the new synthesized MNP systems as good candidates for theranostic applications.

Please wait while we load your content...