About the effects of true-to-life polyethylene terephthalate nanoparticles on macrophages†
Abstract
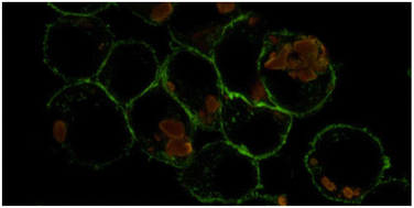
Plastics are emerging pollutants of great concern. Macroplastics degrade into microplastics and nanoplastics, which can accumulate in living organisms with still poorly known consequences. Nanoplastics being particulate pollutants, they are handled in animal organisms by scavenger cells such as macrophages, which are important players in the immune system. Polyethylene terephthalate is one of these plastics of concern, as it is widely used in food packaging where it releases nanoparticles. We have thus undertaken a study on the effects of true-to-life polyethylene terephthalate nanoparticles prepared from water bottles on macrophages. To this purpose, we used a combination of proteomics and targeted validation experiments. Proteomics showed important adaptive changes in the proteome in response to exposure to polyethylene terephthalate nanoparticles. These changes affected not only mitochondrial, cytoskeletal and lysosomal proteins, for example, but also proteins implicated in immune functions. Validation experiments showed that many of these changes were homeostatic, with no induced oxidative stress and no gross perturbation of the mitochondrial function. However, polyethylene terephthalate nanoparticles induced endoplasmic reticulum stress and disturbed the immune functions of macrophages. We indeed observed a slight pro-inflammatory response (1.5-fold increase in TNF secretion). We also observed a decrease in the response to bacterial stimulation (1.6-fold decrease in IL-6 secretion). We also observed a 20% decrease in the expression of important proteins involved in immune responses such as TLR2, TLR7 or collectin 12, and a twofold decrease in the production of lysozyme. This suggests that macrophages having ingested polyethylene terephthalate nanoparticles are less efficient in their immune functions.
- This article is part of the themed collections: Recent Open Access Articles and Nanoplastics in the Environment

Please wait while we load your content...