Interfacial response of Mg–Ca–Si–Zr nanoparticles for transformative orthopedic therapeutics
Abstract
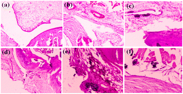
Debris particles, discharged due to degradation and wear, initiate an inflammatory response at the implantation site or lead to aseptic loosening of the prosthesis, ultimately resulting in implant failure over time. The toxicity concern becomes more severe with the release of nano-sized debris particles due to augmented interfacial interactions, even if the bulk counterpart is highly biocompatible. From this perspective, the present study aims to assess the in vivo toxicity, both local and systemic, of Mg1−xCaxSi1−xZrxO3 (x = 0–0.4) [MCSZO-X, X = 0–4] nanoparticles using a rat model. Initially, the in vitro cytotoxicity of varying concentrations (0.25, 2.5, and 25 mg ml−1) of MCSZO-X nanoparticles was evaluated using MG-63 cells. Cell proliferation increases after the early interfacial interactions. Following this, 100 μl of MCSZO nanoparticles (25 mg ml−1) was administered through intra-articular injection into the knee joint of male Wistar rats. Biochemical analyses revealed no pathological changes in the liver and kidney of the injected group of rats. Additionally, the histopathological analyses demonstrated that there is no inflammation resulting from interfacial interactions with injected nanoparticles in various organs such as the liver, heart, kidney and knee. Overall, these findings pave the way for further advancement in bone repair and implant design.
- This article is part of the themed collection: Most Popular RSC Applied Interfaces Articles

Please wait while we load your content...