Treatment of cervix carcinoma FIGO IIIb with Photofrin II as a radiosensitizer: a case report
Abstract
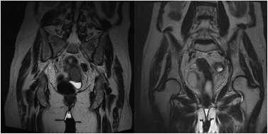
Cervical cancer is the fourth-most common type of cancer and cause of death in women. Human papilloma virus (HPV) infection is responsible for over 90% of cervical cancers. The recommended treatment is multidisciplinary, consisting of a combination of surgery, chemotherapy, and radiation therapy. The standard treatment in advanced stages, such as FIGO IIIb, is radio-chemotherapy with overall 5-year survival of 32%. Photofrin II has been demonstrated to serve as a specific and selective radiosensitizing agent in both in vitro and in vivo tumor models, admitted for radiation therapy. We describe a patient with advanced cervical carcinoma (squamous cell) who contacted us for further therapy in 2003. Staging included a gynecological examination, colonoscopy, explorative laparotomy, biopsy and pelvic MRI. The explorative laparotomy showed enlarged pelvic and para-aortal lymph nodes. The histologic examination described tumor infiltrated, positive lymph nodes (Stage FIGO IIIb). Contrary to recommendations, the patient refused standard treatment with a combination of chemotherapy and radiotherapy, but accepted a combined treatment of Photofrin II as a radiosensitizer and a radiotherapy procedure. She underwent irradiation with a 50.4 + 14 Gy boost with fractionation of 1.8 Gy day−1 for 5 days per week; the boost was given with 2 Gy fractions. She was injected with a single intravenous dose in a slow infusion (30 min) of 1 mg kg−1 of Photofrin II 24 h prior to radiation therapy. A localized relapse in the cervix appeared after 30 months, and was resected by hysterectomy. The patient is still alive with no evidence of disease after 15 years.

Please wait while we load your content...