New mechanism for the nucleation and growth of large zeolite X crystals in the presence of triethanolamine†
Abstract
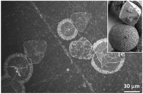
Large octahedral zeolite X crystals nucleate inside preformed spherical particles at the interface between an amorphous core and a shell of zeolite P nanorods. Triethanolamine enhances the sphere formation and is involved in the growth of zeolite X crystals.

Please wait while we load your content...