Role of cytochrome P450s in the male reproductive toxicity of 1-bromopropane†
Abstract
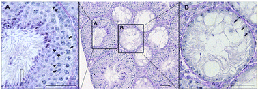
1-Bromopropane (1BP) is widely used as an alternative to ozone-depleting solvents. The present study investigated the role of P450s in 1BP-induced male reproductive toxicity. Mice co-treated with 1-aminobenzotriazole (ABT), a non-selective P450 inhibitor, were exposed to 1BP at 0, 50, 250, or 1200 ppm, while saline-treated control mice were exposed to 1BP at 0, 50, or 250 ppm, for 4 weeks. In the saline-treated mice, exposure to 1BP at 250 ppm decreased the sperm count and sperm motility. Histopathological examination showed that exposure to 1BP at 50 and 250 ppm increased the number of elongated spermatids retained at the basal region of stage IX, X and XI seminiferous tubules, while exposure to 1BP at 250 ppm increased the number of periodic acid-Schiff (PAS)-positive round structures in stage IX, X, and XI seminiferous tubules. Co-treatment with ABT prevented the above changes induced by exposure to 1BP at 50 or 250 ppm. However, ABT-treated mice exposed to 1BP in the 1200 ppm group showed decreases in the weights of reproductive organs, epididymal sperm count and motility, increases in epididymal sperm with abnormal heads, retained spermatids and PAS-positive round structures in stages IX–XI, depletion of spermatogenic cells in part of the seminiferous tubules, and a small number of round spermatids in stage VII seminiferous tubules. The results at 50 and 250 ppm of 1-BP exposure indicate that P450s play important roles in 1BP-induced testicular toxicity. The control of P450 activity reduced 1BP-induced male reproductive toxicities including spermiation failure, reduction of epididymal sperm count and motility, and formation of PAS-positive round structures at postspermiation stages.

Please wait while we load your content...