Issue 4, 2015

Exocyclic DNA adducts in sheep with skeletal fluorosis resident in the proximity of the Portoscuso-Portovesme industrial estate on Sardinia Island, Italy

Abstract

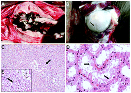
The mechanisms by which fluoride produces its toxic effects are still not clear. Therefore, we conducted a cross-sectional study to evaluate the fluoride-induced toxicity on randomly selected sheep with skeletal fluorosis resident near the large non-ferrous metallurgy Portoscuso-Portovesme industrial estate and the Carbonia and Gonnessa towns (control district) with respect to animals from a remote site without industrial settlements, on Sardinia Island, Italy. We measured the prevalence of 3-(2-deoxy-β-D-erythro-pentafuranosyl)pyrimido[1,2-α]purin-10(3H)-one deoxyguanosine (M1dG) adducts, a biomarker of oxidative stress and lipid peroxidation, in the soft organs of the study animals using the 32P-postlabelling assay. Then, we analysed the association between M1dG adducts and sheep-farm localization. In addition, cadmium and lead levels were measured in the same matrices by mass spectrometry. The histopathology analysis showed that the sheep resident near the industrial site and in the control district presented typical manifestations of fluorosis. The statistical analyses using log-normal regression models indicated that there was a significant association between exocyclic DNA adducts and skeletal fluorosis. The mean ratios, adjusted for age, of renal and hepatic M1dG for the sheep with fluorosis were 5.09, 95% C.I. 1.67–15.53 and 2.04, 95% C.I. 0.91–4.57, p = 0.009 and p = 0.078, respectively. After stratification for sheep-farm localization, the renal and hepatic levels of M1dG adducts were significantly higher in the sheep resident near the industrial estate as compared to controls. Intermediate amounts of DNA damage were observed in the kidney of the sheep living in the control district. As expected, the levels of cadmium and lead were significantly increased in the sheep with fluorosis as compared to controls. Also, the concentrations of heavy metals were driven from the distance of the sheep-farms to the industrial site. Our results broaden knowledge about the role of exocyclic DNA adducts in the etiology of skeletal fluorosis. Fluoride generated from the non-ferrous metallurgy complexes may increase the intracellular amounts of oxidative stress and ROS within the soft organs. A continuous attack to DNA may contribute to the general decline of cellular functions, ranging from disturbance of DNA metabolism, triggering cell-cycle arrest and apoptosis, to inducing necrosis and cellular degenerative changes.

Graphical abstract: Exocyclic DNA adducts in sheep with skeletal fluorosis resident in the proximity of the Portoscuso-Portovesme industrial estate on Sardinia Island, Italy

Article information

Article type
Paper
Submitted
23 Feb 2015
Accepted
07 Apr 2015
First published
09 Apr 2015

Toxicol. Res., 2015,4, 986-993

Author version available

Spotlight

Advertisements