Issue 4, 2015

Dose–response assessment of the dermal toxicity of triclosan in B6C3F1 mice

Abstract

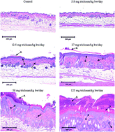
Triclosan [5-chloro-2-(2,4-dichlorophenoxy)phenol] is a widely used antimicrobial agent in personal care products, household items, medical devices, and clinical settings. Due to its extensive use, there is potential for humans in all age groups to receive life-time exposures to triclosan, yet data on the chronic dermal toxicity/carcinogenicity of triclosan are still lacking. The present study evaluated the toxicity of triclosan administered dermally to B6C3F1 mice for 13 weeks. Groups of 10 male and 10 female B6C3F1 mice received dermal applications of 0, 5.8, 12.5, 27, 58, or 125 mg triclosan per kg body weight (bw) daily for 13 weeks. The doses were administered in 1 ml ethanol per kg bw. All mice survived the 13-week treatment period. Body weights of female mice receiving 125 mg triclosan per kg bw per day weighed 94% (p < 0.05) of the female control mice; male mice administered 58 and 125 mg triclosan per kg bw per day weighed 91% (p < 0.05) and 82% (p < 0.01) of the control male mice. Liver weights were significantly increased in females receiving 58 and 125 mg triclosan per kg bw per day and in males in the 125 mg triclosan per kg bw per day dose group. A significant dose-dependent decrease in the levels of thyroxine and cholesterol was observed in both sexes. The highest dose of triclosan increased the percentage of reticulocytes in both sexes; in addition, the 58 mg triclosan per kg bw per day dose increased the percentage of reticulocytes in females. Skin lesions (dermal fibrosis and inflammation; epidermal hyperplasia, inflammation, necrosis, and ulceration, and parakeratosis) were observed in both sexes, with a dose-dependent increase in severity and incidence.

Graphical abstract: Dose–response assessment of the dermal toxicity of triclosan in B6C3F1 mice

Supplementary files

Article information

Article type
Paper
Submitted
24 Sep 2014
Accepted
08 Feb 2015
First published
17 Feb 2015

Toxicol. Res., 2015,4, 867-877

Author version available

Spotlight

Advertisements