Characterization of the metal status of natively purified alpha-synuclein from human blood, brain tissue, or recombinant sources using size exclusion ICP-MS reveals no significant binding of Cu, Fe or Zn†
Abstract
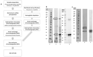
Abnormal protein structure and function have been implicated as the toxic species in many diseases including neurodegenerative diseases, such as Parkinson's. One key pathological hallmark in Parkinson's disease is the formation of Lewy bodies, of which alpha-synuclein is the major component. These Lewy bodies are formed by the aggregation and oligomerization of alpha-synuclein. The oligomeric form of the protein is suspected to be the main contributor to the neurotoxicity seen in the disease. The formation of toxic oligomers has been shown to occur through reactions with lipids, dopamine, hydrogen peroxide as well as metals. The interplay between metals and alpha-synuclein has also been proposed to cause oxidative stress, which promotes the formation of protein aggregates. Most studies investigating the relationship of Cu, Fe and Zn with alpha-synuclein have relied on the use of recombinant protein and there is little evidence that the interaction between metals and alpha-synuclein are physiologically relevant. To address this gap in our knowledge we have characterized the metal content and metal binding capacity of alpha-synuclein purified from human erythrocytes and brain tissue. In addition, we examined the ability of dityrosine cross-linked alpha-synuclein oligomers to bind Cu, Fe and Zn. Using size exclusion chromatography-inductively coupled plasma-mass spectrometry we demonstrated that native human alpha-synuclein, recombinant familial mutants and oligomers do not bind to significant amounts of metal even when they are added to the protein in excess.
- This article is part of the themed collections: Metallomics Recent HOT articles and Metallomics Emerging Investigators

Please wait while we load your content...